 |
わたしたちは声を上げ要求する。「わたしたちを殺すのはやめなさい」と:ビヨンセに続きアリシア・キーズが声明動画を公開 |
 |
超富裕者に富裕税を課してコロナ禍の損害を補填する法案が可決。アルゼンチンで |
|
生きたクラゲに推進システムを搭載、高速遊泳可能なサイボーグ・クラゲが誕生(米研究) |
 |
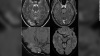
深い眠りによって脳内の老廃物が洗い流されていることがわかった:研究結果 |
 |
ドリブルを、こだわりではなく武器に。川崎・登里享平が捨てた固定観念。 |
 |
ハマる人続出の「リングフィットアドベンチャー」 運動不足の漫画家が1週間遊び続けた結果 |
|
ゴーン氏の無断出国、フランスのメディアと市民はどう反応したか?(プラド夏樹) - 個人 - Yahoo!ニュース |
 |
【レポート】糖質制限プラス肉食で安全に痩せる「ケトジェニックダイエット」って? |
 |
BABYMETAL、大熱狂の国内ツアー終盤戦で「We are the one!」 |
 |
「パスワードリスト攻撃」だと頑なに主張するセブンイレブン・7Pay廃止会見 |
 |
よくある激安チラシをよく見たら芸能界を引退した長瀬智也さんが載っていた |
 |
裁判所の手続きを利用した詐欺にご注意 - Togetterまとめ |
|
痛いニュース(ノ∀`) : 番組ロケでヒッチハイカーが5時間彷徨う珍事…「福島県郡山市は冷た過ぎる町」と苦言も - ライブドアブログ |
|
高浜原発4号機が緊急停止 再稼働直後、発電機トラブル |
 |
WHO、新型コロナ「消滅しない可能性」 終息に長い道のり - ロイター |
 |
回路基板などのゴミから効率的に金やプラチナを回収できるポリマーが開発される |
 |
「ポケモンGO」関連株失速 任天堂は17%安 :日本経済新聞 |
 |
流しそうめんを自宅で実現できて自在にカスタムもできる「ビッグストリーム そうめんスライダー カスタム」レビュー |
|
【画像】安倍総理に見立てたカボチャを集団リンチ サヨクのストレス解消法がヤバすぎると話題に |
|
名作エレメカの新機種『ワニワニパニックR』が順次稼働開始。当時の外観を残しつつも液晶モニターや協力プレイ要素が新たに搭載 |
|
ガソリン 10週連続で値下がり |
 |
競泳・池江「ありのままの自分を見て」 SNSで短髪姿を公開 直筆でメッセージ |
 |
音声配信サービス「Radiotalk」、オーディオストリーミングサービス「Spotify」と連携開始 |
|
中国の「平和的台頭」を受け入れよ 中国専門家、日本の姿勢を批判 |
 |
済州島「クリスマスツリーの森」が温暖化で危機に、絶滅危惧種 |
|
サイバーエージェントグループのスマホゲーム各社の決算一覧…Cygamesが134%増の62億円と驚異的な伸びに |
|
海外で称賛 男子新体操の底力 |
 |
ロッテ涌井 FA移籍した球団で最多勝は初めて |
 |
この10年で決して忘れられない、見逃せない24本の映画:『WIRED』が振り返る2010年代(映画編) |
 |
コロナで食費切り詰め、貯金切り崩すシングルマザー家庭。支援呼びかけるサイト立ち上げ |
 |
「自分を変えてプレーする必要が」権田修一が語るSVホルン移籍の真相。 |
 |
エクスカリバー出現、700年前の剣が川底の岩に刺さった状態で発見される |
 |
「ローグ・ワン/スター・ウォーズ・ストーリー」重たい雰囲気の新予告編映像公開 |
 |
大人も子供も「その問題が何を聞いているのか」の正確な理解が、とても重要だという話。 |
 |
猫の爪切除を禁止、NYで全米初の州法成立 |
 |
蘇生した受刑者、「一度死んだ」として終身刑満了訴えるも棄却 米 写真1枚 国際ニュース:AFPBB News |
|
橋下新党:10月1日に表明 大阪系議員「20人超参加」 |
 |
英首相選び、構図一変 本命ジョンソン氏が突如退場 |
|
韓国政府が慰安婦に激怒 「売春婦のヨタ話に、政府としてできる事はもう無い」 |
|
スターバックスなどのホットドリンクの糖分 英非営利団体が指摘 |
 |
ポケモンGO:「驚くべきこと」アップルCEOが称賛 |
|
絶対に外れない!神田・御茶ノ水のイチオシ絶品ラーメンBEST11 |
 |
聴き放題の時代に「カセットテープ」の波 不便で面倒なのに人気の理由 (1/4) 〈AERA〉|AERA dot. (アエラドット) |
|
「寝かしつけあるある」「再現度高すぎて笑う」 エヴァ初号機がシルバニアの赤ん坊を寝かしつけるコマ撮りアニメがリアル (1/2) - ねとらぼ |
 |
日本の芸能界の「暗黙のルール」に危機感。ラッパーSKY-HIが自腹で1億円かけた次世代発掘 |
|
2千年前、東北を襲った破壊的津波の跡が発見 |
 |
NZ、100日連続で市中感染ゼロ達成 国民はコロナ前とほぼ同じ生活 写真2枚 国際ニュース:AFPBB News |